Image
Image
Image
Image
Image

Oral Surgery

★★★★★ 4.5/5

1000.00 /-

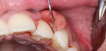
Oral surgery in Kolkata, performed by specialists, includes a range of procedures like wisdom tooth extraction, jaw reconstruction, dental implants, and treatment of facial trauma. These surgeries address issues like impacted teeth, misaligned jaws, and injuries to the face and mouth. Oral surgeons also handle cleft lip and palate repair and TMJ disorders.

Features:

  • Wisdom Tooth Extraction: This common procedure involves removing the third molars (wisdom teeth) which can cause pain, overcrowding, or infection if they don't erupt properly.
  • Jaw Surgery (Orthognathic Surgery): This corrects jaw alignment issues, improving chewing, speaking, and breathing, and can be coordinated with orthodontic treatment.
  • Dental Implants: These are artificial tooth roots surgically placed in the jawbone to support replacement teeth.
  • Facial Trauma Surgery: This addresses injuries to the face, including fractures and soft tissue damage from accidents.
  • Cleft Lip and Palate Surgery: This reconstructive surgery corrects congenital deformities of the lip and palate.
  • Temporomandibular Joint (TMJ) Surgery: This treats disorders of the TMJ, which can cause jaw pain, headaches, and difficulty with mouth movement.
  • Other Procedures: Oral surgeons also handle oral cancer surgery, biopsies, and management of salivary gland disorders.